今天是:
欢迎访问医院管理处!

直属附属医院动态

当前位置: 首页 >> 直属附属医院动态 >> 正文

北肿名医 | 逆转生死线!72岁老人乙状结肠癌肝转移,以创新技术点亮生命之光

发布日期:2025-01-20    作者:     来源: 附属肿瘤医院腹部外科B区    点击:

北肿名医 | 逆转生死线!72岁老人乙状结肠癌肝转移,以创新技术点亮生命之光

72岁老人

乙状结肠癌肝转移

8个病灶在肝上到处钻

其中之一极为危险

位于肝左内叶(S4)深部

肿瘤形态不规则

紧邻肝中静脉起始部位

毗邻第一肝门

危险重重

这怎么治?!!!

警报拉响——便血疑云,揭秘乙状结肠的隐秘危机

72岁的高爷爷出现便血症状后,就诊当地医院行结肠镜检查和病理活检,最终确诊为乙状结肠癌。为进一步治疗,患者及其家人决定赴北京大学肿瘤医院内蒙古医院(内蒙古医科大学附属肿瘤医院)就诊。腹部外科张勇刚医生门诊接诊。

S4拟行消融的病灶

患者入院后,经过进一步检查,发现不仅确诊乙状结肠癌,而且病灶已经在向肝部转移。

策略部署——北肿专家,绘制分期手术蓝图

患者得知全国肠癌肝转移专家邢宝才主任会定期在我院开展手术后,希望邢宝才教授能为患者分析病情,并行手术治疗。了解患者诉求后,张勇刚和主治医师吉九威整理患者病历资料并详细向邢宝才主任汇报患者病情。

邢宝才在经过细致的研究后,给出病情分析和治疗建议。他认为,患者肠癌肝转移诊断明确,但患者身体消瘦且合并心脏功能不全,同期手术治疗风险较大,建议分期手术,先切除肝肝转移瘤,待身体恢复后再择期行原发灶(乙状结肠)切除。

病灶迷宫——肝转移,多病灶布局下的生存挑战

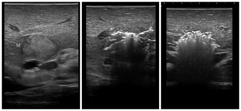
经过仔细分析肝内病灶的数目及特点发现,肝内共有8个病灶,6个病灶位于肝脏右后叶(S6、S7),可做标准肝右后叶切除术,1个病灶位于肝左内叶(S4)表面,可做局部切除,1个病灶位置极为特殊,位于肝左内叶(S4)深部,肿瘤形态不规则且紧邻肝中静脉起始部位,毗邻第一肝门,该位置的肿瘤是无法切除的,只能术中消融或术后放疗,但放疗的效果不及术中消融的效果,术后易复发。对于紧邻血管和第一肝门的的肿瘤进行消融是极其困难的,无论是布针的路径和能量的设置都具体很大的挑战。

消融前术中超声检查

术中消融

消融后术中超声检查

为了追求手术根治性的最好效果,邢主任果断选择了术中微波消融的方式。超声科姜桂艳做术前超声造影检查,进行了详细的术前评估,并参与手术进行超声指导和病灶定位。

重生瞬间——手术室里的胜利曙光 患者重获希望

8月23日,在麻醉科,超声科及手术室团队的配合下,为患者成功实施了肝脏右后叶切除术+肝病损微波消融术,手术非常成功。患者第2天可自行下地活动,第7天拔除了腹腔的3根引流管,术后第8天顺利出院。

消融后术中超声造影检查,显示肿瘤消融彻底,无活性

北京大学肿瘤医院肠癌肝转移瘤专家邢宝才主任再次来到我院开展手术,开创我院微波消融治疗肝转移瘤的先河。这标志着我院腹部外科在肠癌肝转移方面又取得可突破性进展,在理念和技术方面迈向高质量发展新阶段。

//关于乙状结肠癌//

典型症状

1、排便习惯的改变

表现为排便次数增加、腹泻、便秘、腹痛等情况。

2、血便

主要表现为便带有粘液、血液。

3、腹部肿块

肿块多坚硬,呈结节状,可有明显的压痛。

好发人群

1、中老年人群

中老年人群由于年龄的增长,身体各项机能老化,免疫机制下降,容易发生癌症。

2、家族有乙状结肠癌病史的人群

乙状结肠癌有遗传性,有家族史者发病率高于正常人。

预防措施

1、远离电离辐射环境。

2、放松心态,避免精神压力过大。

3、规律作息,避免内分泌紊乱。


上一条:喜报|医院骨科刘瑞教学团队《运动系统损伤与疾病》课程入选全国高质量医学教师发展在线课程